
It was during a routine ultrasound scan in the 20th week of pregnancy that Lis learned something was wrong with her unborn child, Noa. Her gynaecologist noticed an abnormal amount of fluid in the baby’s body but was unable to provide a clear explanation.
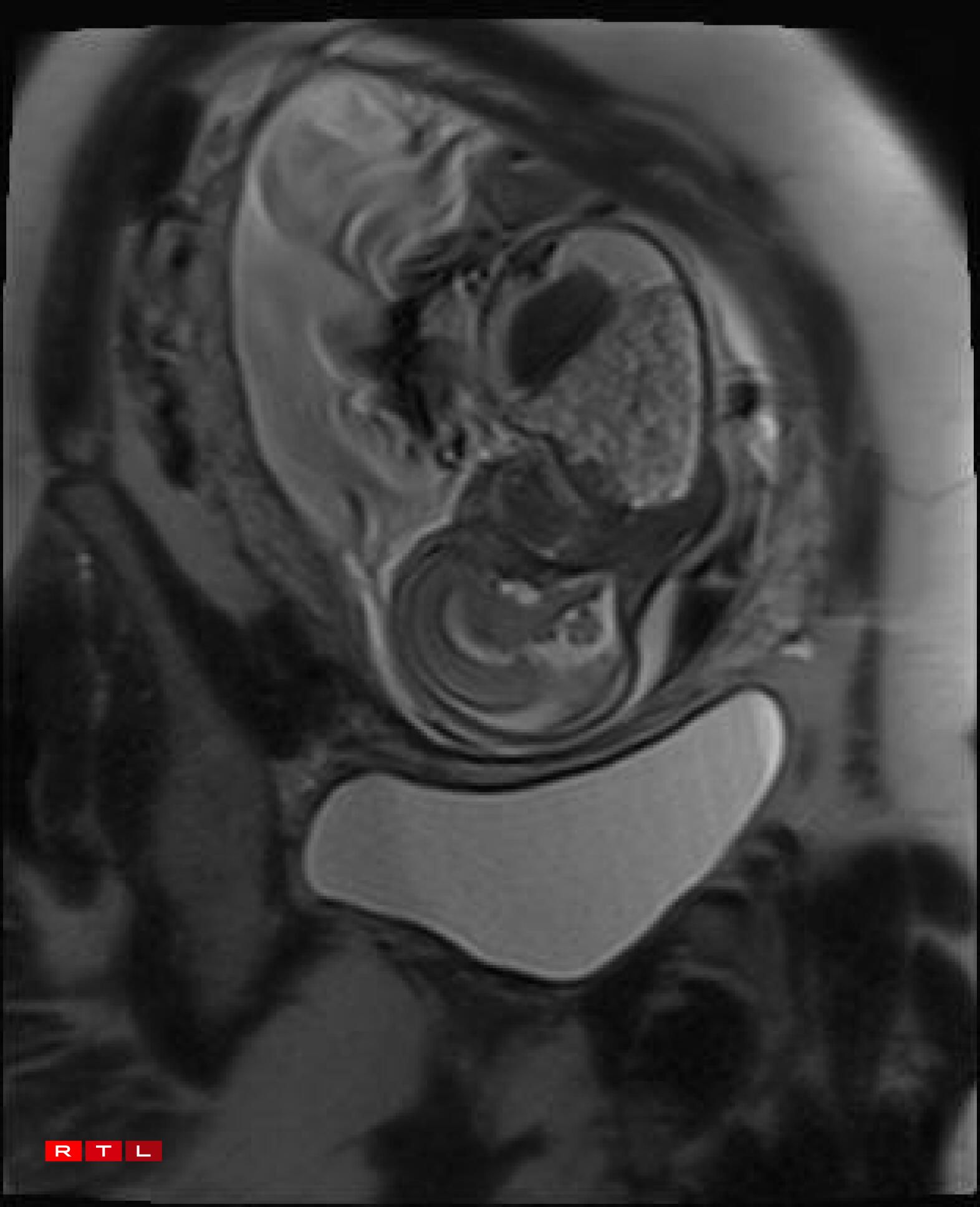
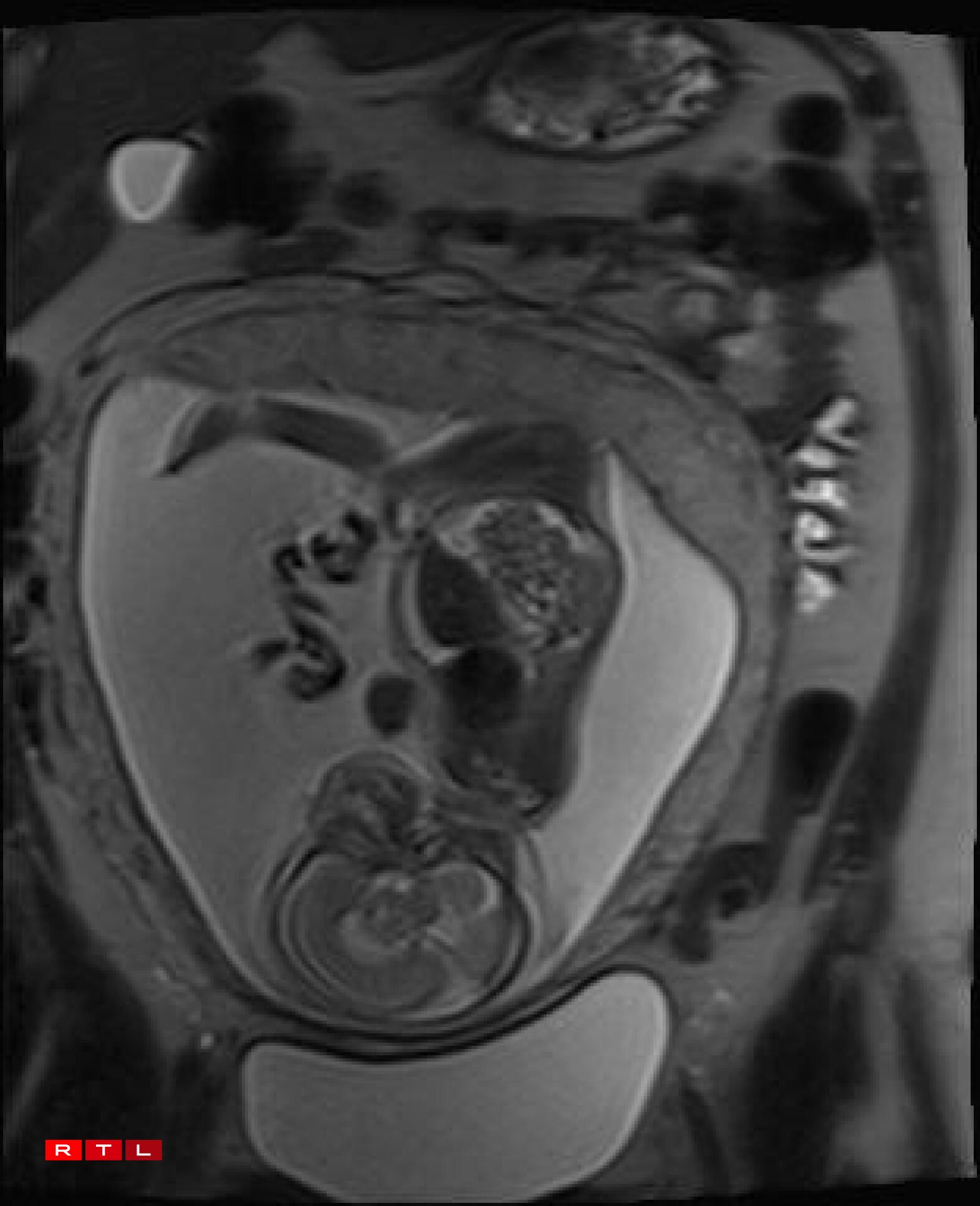
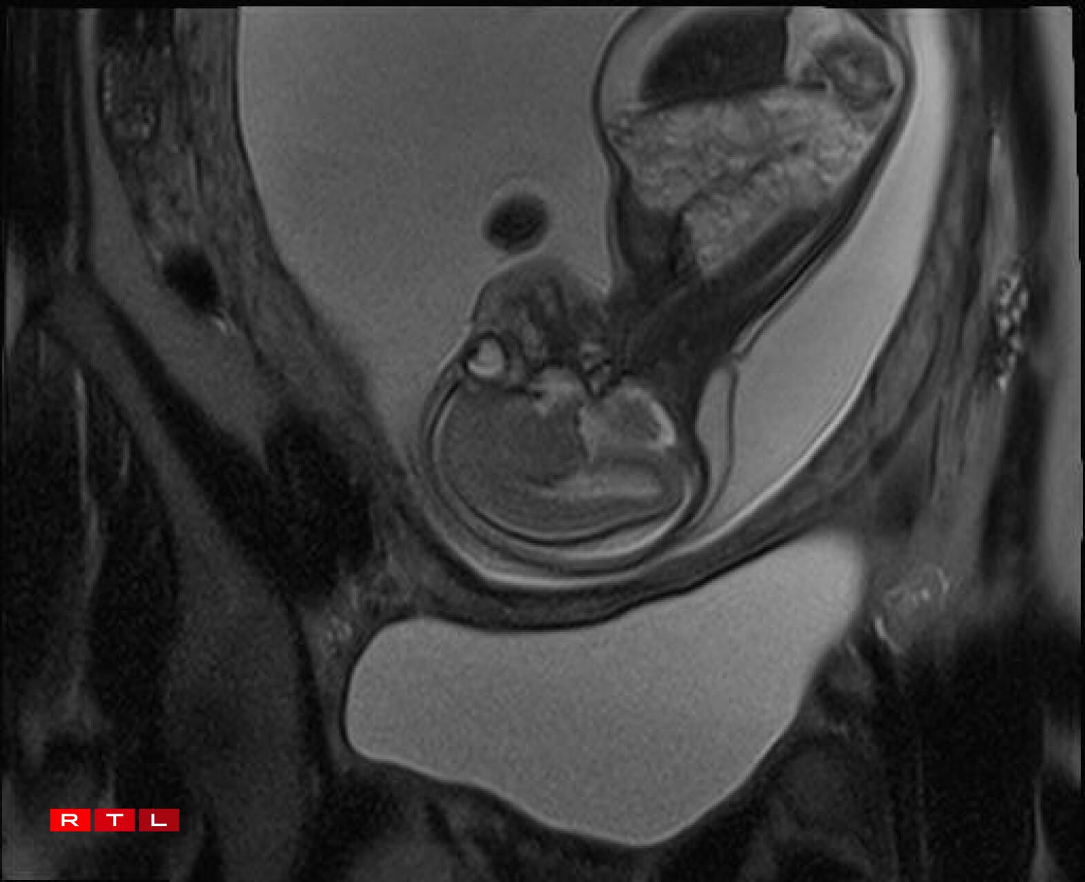
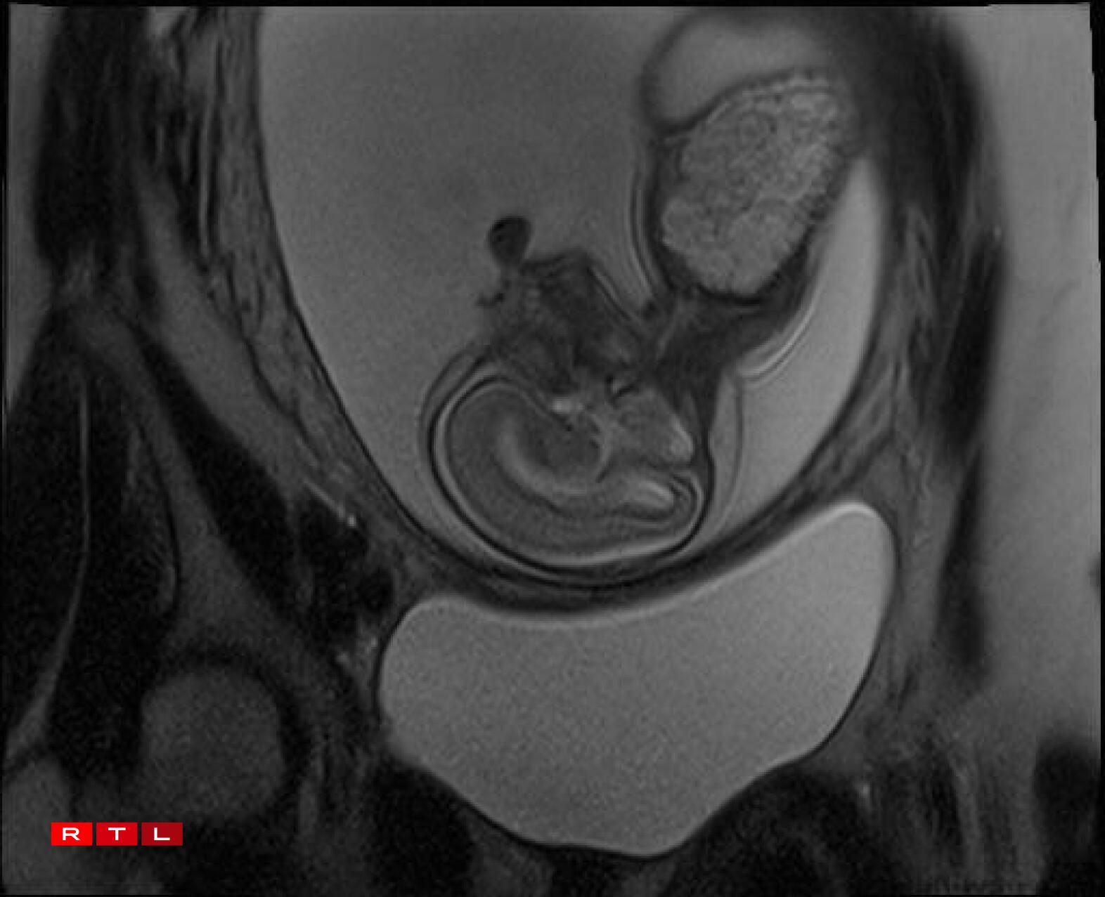
Lis was therefore referred to the Centre Hospitalier de Luxembourg (CHL), where further examinations led to a diagnosis. Noa was found to have a congenital pulmonary airway malformation (CPAM). Doctors explained that a large mass of cysts had formed in his chest, compressing his heart and disrupting his circulation. This, in turn, caused the fluid retention observed during the initial scan.
Following consultations with specialists in Brussels, Lis underwent a course of cortisone treatment in the hope that it might reduce the size of the mass. However, the treatment did not lead to any improvement.
“On 29 October, we went to Brussels and the doctor said straight away that it was not looking good at all”, Lis recalled. “The heart was far too compressed. You couldn’t see a lung, only this mass of cysts. She saw no chance and told us to look into an abortion”.
The heartbreaking news came as a devastating blow to Lis and her husband Joé, who were suddenly forced to confront the possibility that their child might not survive. Adding to the pressure was the risk of so‑called mirror syndrome, a rare condition in which the mother can develop symptoms similar to those affecting the foetus.
“I spoke a lot with my aunt, who also has an angel baby”, Lis said. “We talked about how to keep him in memory, with photos and things like that. After the 20th week of pregnancy, you have to give birth in the normal way. On All Saints’ Day, I even told my husband to go and see which plots were still available in the cemetery. We had already come to terms with the idea that it wasn’t meant to be”.
But things were about to take an unexpected turn.
Lis said that she is not a particularly spiritual person. But one day, she came across an online Tarot card reading session on social media and decided to take part. “The day I came back from the MRI in Brussels”, she said, “this woman sent me my fortune reading with the message: ‘Love never ends’. I didn’t respond, I was not in a good state of mind at the time”.
But a few days later, the message came back to her. The young mum doesn’t believe in coincidences and wanted to explore every possible avenue, Lis decided to reach out to the woman and explain her situation.
“I later did a meditation session with her. And during that meditation, I saw a lung in front of my eyes, filled with flowers and glowing. You can say ‘you imagined it’ or ‘you visualised it yourself’. Maybe that’s true. I don’t know. But it gave me the strength to continue. It made me feel that there was still something left to fight for.”
Her determination led her to a discovery on the internet: Professor Thomas Kohl at the University Hospital in Mannheim, who had previously treated babies diagnosed with CPAM. After an email exchange and a phone call, Lis received an invitation to come to Mannheim, and with it, a renewed sense of hope.
“I travelled to Mannheim to meet Professor Kohl and was seen fairly quickly. He did an ultrasound and said: ‘I can operate on your baby’”.
In Noa’s case, the CPAM was caused by a malformed aorta: a blood vessel had branched toward the lungs and was feeding the cysts. The condition is known as a sequestration. Professor Kohl proposed the following intervention:
“He would go through my abdomen with two small incisions to reach the amniotic sac, then pass through Noa’s chest to the heart, where he would cauterise the blood vessel that was feeding the cysts using a small electric current. From there, we could hope that the cysts would shrink and the lung could begin to develop”.
There were no full guarantees that the procedure would succeed, but Lis and Joé chose to take the risk. The operation was ultimately successful and three months later, on 20 February, Noa was born.
However, Noa’s fight was far from over. The cysts on his lung had not fully disappeared, and he had to remain intubated for another six weeks to support his breathing. He was placed on strong medication, and doctors eventually removed the lower right lobe of his lung. Even now, he continues to sleep with a high-flow oxygen mask to help him breathe during the night. It was also a challenging period for his older brother, Lio. For a long time, Lio was unable to visit his baby brother, and with both parents spending so much time in hospital, he rarely saw them either.
Despite everything, Noa is now on the road to recovery. Three months after his birth, he was finally discharged from hospital. Now, Noa takes fewer medications and there’s no stopping his cheer and resilience.
Noa’s story is one of two parents who refused to give up, and of a little boy who chose to fight for his life.
This year, the family hopes to spend more time together and fewer days in hospital. Lis has a message for others who may be facing similar struggles:
“You should never lose hope. A diagnosis like this is a huge punch in the gut. What you go through is truly terrible. But I encourage other families not to give up. Keep searching for a way out. Try everything you can. Modern medicine has come such a long way”.